

公司電話:0731-85238098鎢燈絲掃描電子顯微鏡SEM3200
SEM3200是一款高性能、應用廣泛的通用型鎢燈絲掃描電子顯微鏡。擁有出色的成像質量、可兼容低真空模式、在不同的視場范圍下均可得到高分辨率圖像。
大景深,成像富有立體感。豐富的擴展性,助您在顯微成像的世界中盡情探索。

產品特點(*為選配件)
低電壓
碳材料樣品,低電壓下,穿透深度較小,可以獲取樣品表面真實形貌,細節更豐富。

毛發樣品,在低電壓下,電子束輻照損傷減小,同時消除了荷電效應。

低真空
過濾纖維管材料,導電性差,在高真空下荷電明顯,在低真空下,無需鍍膜即可實現對不導電樣品的直接觀察。

大視場
生物樣品,采用大視場觀察,能夠輕松獲得瓢蟲整體形貌及頭部結構細節,展現跨尺度分析。

導航&防碰撞
光學導航
想看哪里點哪里,導航更輕松
標配倉內攝像頭,可拍攝高清樣品臺照片,快速定位樣品。

手勢快捷導航
可通過雙擊移動、鼠標中鍵拖動、框選放大,進行快捷導航
如框選放大:在低倍導航下,獲得樣品的大視野情況,可快速框選您感興趣的樣品區域,提高工作效率。

防碰撞技術
采取多維度的防碰撞方案:
1. 手動輸入樣品高度,精準控制樣品與物鏡下端距離,防止發生碰撞;
2. 基于圖像識別和動態捕捉技術,運動過程中對倉內的畫面進行實時監測;
3. 硬件防碰撞,可在碰撞一瞬間停止電機,減少碰撞損傷。(*SEM3200A需選配此功能)

特色功能
智能輔助消像散
直觀反映整個視野的像散程度,通過鼠標點擊清晰處,可快速調節像散至最佳。

自動聚焦
一鍵聚焦,快速成像。

自動消像散
一鍵消像散,提高工作效率。

自動亮度對比度
一鍵自動亮度對比度,調出灰度合適圖像。

多種信息同時成像
SEM3200軟件支持一鍵切換SE和BSE的混合成像?赏瑫r觀察到樣品的形貌信息和成分信息。

快速圖像旋轉
拖動一條線,圖像立刻“擺正角度”。

豐富拓展性
掃描電子顯微鏡不僅局限于表面形貌的觀察,更可以進行樣品表面的微區成分分析。
SEM3200接口豐富,除支持常規的二次電子探測器(ETD)、背散射電子探測器(BSED)、X射線能譜儀(EDS)外,也預留了諸多接口,如電子背散射衍射(EBSD)、陰極射線(CL)等探測器都可以在SEM3200上進行集成。
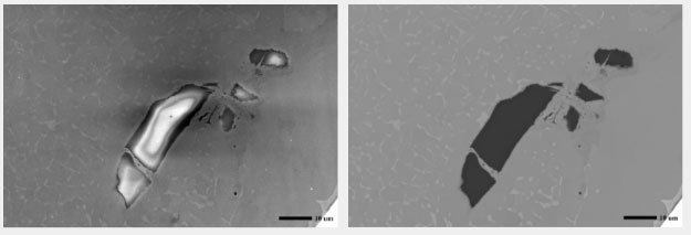
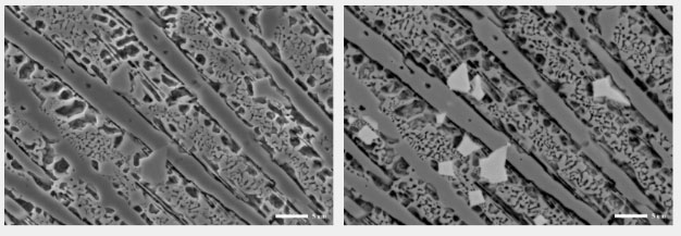
背散射電子探測器
二次電子成像和背散射電子成像對比
背散射電子成像模式下,荷電效應明顯減弱,并且可以獲得樣品表面更多的成分信息。
鍍層樣品:

鎢鋼合金樣品:

四分割背散射電子探測器——多通道成像
探測器設計精巧,靈敏度高,采用4分割設計,無需傾斜樣品,可獲得不同方向的陰影像以及成分分布圖像。

能譜
LED小燈珠能譜面分析結果。

電子背散射衍射
鎢燈絲電鏡束流大,完全滿足高分辨EBSD的測試需求,能夠對金屬、陶瓷、礦物等多晶材料進行晶體取向標定以及晶粒度大小等分析。
該圖為Ni金屬標樣的EBSD反極圖,能夠識別晶粒大小和取向,判斷晶界和孿晶,對材料組織結構進行精確判斷。
應用案例




產品參數
| 型號 | SEM3200A | SEM3200 | ||
|---|---|---|---|---|
| 電子光學系統 | 電子槍類型 | 預對中型發叉式鎢燈絲電子槍 | ||
| 分辨率 | 高真空 | 3 nm @ 30 kV(SE) | ||
| 4 nm @ 30 kV(BSE) | ||||
| 8 nm @ 3 kV(SE) | ||||
| *低真空 | 3 nm @ 30 kV(SE) | |||
| 放大倍率 | 1-300,000x(底片倍率) | |||
| 1-1000,000x(屏幕倍) | ||||
| 加速電壓 | 0.2 kV~30 kV | |||
| 成像系統 | 探測器 | 二次電子探測器(ETD) | ||
| *背散射電子探測器、*低真空二次電子探測器、*能譜儀EDS等 | ||||
| 圖像保存格式 | TIFF、JPG、BMP、PNG | |||
| 真空系統 | 真空模式 | 高真空 | 優于5×10-4 Pa | |
| *低真空 | 5~1000 Pa | |||
| 控制方式 | 全自動控制 | |||
| 樣品室 | 攝像頭 | 光學導航 | ||
| 樣品倉內監控 | ||||
| 樣品臺配置 | 三軸自動 | 五軸自動 | ||
| 行程 | X: 120 mm | X: 120 mm | ||
| Y: 115 mm | Y: 115 mm | |||
| Z: 50 mm | Z: 50 mm | |||
| / | R: 360° | |||
| / | T: -10°~ +90° | |||
| 軟件 | 語言 | 中文 | ||
| 操作系統 | Windows | |||
| 導航 | 光學導航、手勢快速導航 | |||
| 自動功能 | 自動亮度對比度、自動聚焦、自動像散 | |||
| 特色功能 | 智能輔助消像散、*大圖拼接(選配軟件) | |||
| 安裝要求 | 房間 | 長 ≥ 3000 mm,寬 ≥ 4000 mm,高 ≥ 2300 mm | ||
| 溫度 | 20 ℃~25 ℃ | |||
| 濕度 | ≤ 50 % | |||
| 電氣參數 | 電源AC 220 V(±10 %),50 Hz,2 kVA | |||